CT

CTとは、Computed Tomography(コンピュータ断層撮影法)の略語です。 CT装置は人体にX線を照射し、患者様の体の周りを回転してデータを収集しコンピュータで断層画像に再構成・表示します。 また、最近は断面像だけではなく3次元の立体画像を構成することが可能になりました。

2017年5月に更新したRevolution EVO(GE社製)はノイズが少なくなりました。 さらに、体内金属の画像の鮮明化や、回転速度が速まることで、負担の少ない撮影を行います。


2020年12月に更新したCT 5000 Ingenuity(Philips社製)は、息止め時間を短くするため高速撮影を行う場合、画質劣化や装置本体への大きな負荷などのデメリットを軽減し、被ばく線量低減や造影剤使用量の軽減も可能にしています。



128スライスCT 5000 Ingenuity(Philips社製)


GE社製 Revolution EVO(64列)


検査を受けるときの注意


検査時間は検査室へ入られてから概ね10~20分です。また、次のような方は検査を受けられないことがあります。必ずスタッフに申し出てください。


  • 妊娠している方、または妊娠をしている可能性のある方

造影剤について


より正確な診断をするために造影剤を使うことがあります。造影剤を用いることによって病変も明瞭に描出され、より正確な診断が可能となります。

CT検査で使用される造影剤は、「ヨード造影剤」と呼ばれるもので、通常、腕の静脈から注入して撮影を行います。気管支ぜんそくなど、一部の持病をお持ちの方は、造影検査を受けられない場合があります。心配な方は医師にご相談ください。


冠動脈CT


造影剤を用いて撮影することにより、心臓を栄養している動脈(冠動脈)の狭窄や閉塞によって起こる、狭心症の評価や予防に有用です。


VR表示


MIP表示


大動脈CT


造影剤を用いて撮影することにより、大動脈瘤、解離性大動脈瘤、血管の閉塞、狭窄の検出に優れています。


VR表示



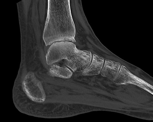
整形領域CT


細かくデータを収集することにより、いろいろな断面で再構成することができます。レントゲン撮影では見えにくい、細かな骨折の診断に有用です。


足関節(矢状断)MPR表示


CT画像のデータから骨だけのデータだけを3次元表示しています。骨折や変形の全体像の把握に適しています。


手関節(3D)VR表示


大腸CT


肛門より炭酸ガスを注入し、腸を膨らませ撮影する事によって、大腸の情報を得る事ができます。腫瘍やポリープの同定、大腸内視鏡ができない患者様などに用いられています。ただし、腸内をきれいにする前処置が必要となります。

術前には造影剤を併用し、大腸、血管、腫瘍の画像をFusion(重ね合わせ)する事によって、術前シミュレーションを行う場合もあります。




手術支援


手術支援3D画像(頸部)


手術支援3D画像(腹部)


委託検査


当院では委託検査も行っております。詳しくはこちらからご覧ください。